- 리페이스치과병원 소개
- 왜 리페이스인가?
- 3D 양악수술
- 3D 안면윤곽수술
- 3D 재수술
- 구강악안면외과 진료
- 수술후기
- 상담/예약
- 커뮤니티
언면비대칭에 부정교합 때문에 양악이랑 윤곽2종 받게 됐어요
반대교합에다 얼굴도 비대칭이라 교정부터 알아봤었는데
교정 치과에서 양악수술 권유받았었거든요 ㅜㅜ...
양악이란 수술 자체가 무겁게 느껴져서 고민만 몇 년을 했는지..
결론부터 말하자면 왜 이제 했나 싶을 정도로 너무 만족하는 수술이에요 !!
양악 상담 갔을 때 김도섭 원장님이 3D 프로그램으로
제 뼈 구조 보시면서 어디가 비대칭인지, 양악이랑 윤곽이 각각 어떤 수술이고 하게 되면 어떻게 개선되는지
알기 쉽게 설명해 주시는 거 보고 확신이 들더라고요
상담할 때 분위기도 편해서 저 혼자 주절주절 고민 상담까지 하고 왔는데 다 들어주셔서 마음이 놓였고요 ㅎㅎ
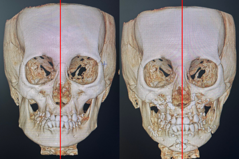
CT사진은 수술 받은 바로 다음 날 경과 체크할 때 촬영한 건데 기록용으로 찍어왔어요 ㅎㅎ
사진만 봐도 대박이지 않나요..?
사각턱, 턱끝도 같이 수술하길 잘한 거 같아요 ㅠㅠ
아직 수술받은지 얼마 안 돼서 붓기가 낭낭하긴 하지만 CT사진 보니까 붓기 빠지면 어떨지 기대돼요
갈 때마다 사후관리도 여러가지 많이 해주셔서 신경써주시는게 느껴져서 좋구요 👍
혹시 저처럼 비대칭이나 얼굴형 고민하시는 거면 리페이스치과병원에서 상담이라도 꼭 받아보시는 거 추천해요
전문가한테 진단받는 것만으로도 마음이 한결 편안해집니다 ㅋㅋㅋㅋ!!